Image (4)

Family Dentistry

At Holly Street Dental, we provide compassionate, comprehensive dental care for patients of all ages. Our family dentistry services are designed to help everyone in your household achieve healthy, beautiful smiles in a welcoming environment.

Image (5)

Preventative Dentistry

Preventative dentistry focuses on protecting your smile before problems arise. With regular checkups, cleanings, and personalized guidance, we help prevent cavities, gum disease, and other oral health issues for lasting wellness.

Dental Emergency

Dental Emergencies

When a dental emergency strikes, you need prompt, expert care. We offer same-day emergency dental services to relieve pain, repair damage, and restore your oral health as quickly as possible.

Image (16)

Dental Cleanings

Regular dental cleanings are key to maintaining a healthy smile. Our gentle, thorough cleanings remove plaque, tartar, and stains, helping to prevent cavities and gum disease while keeping your teeth looking their best.

Teeth Whitening

Teeth Whitening

Brighten your smile safely and effectively with our professional teeth whitening. We offer take-home treatments to lift stains and enhance your smile’s natural beauty.

Root Canal Therapy

Root Canal Therapy

Root canal therapy can save a damaged or infected tooth, relieving pain while preserving your natural smile. Our gentle approach ensures a comfortable experience and long-term results.

Dental Implant Therapy

Dental Implant Therapy

Dental implants offer a permanent, natural-looking solution for missing teeth. We restore both function and aesthetics with customized implant therapy tailored to your needs.

Tooth Removal

Tooth Removal

Whether due to damage, crowding, or infection, tooth removal may be necessary to protect your oral health. We perform extractions with care and precision to support a smooth recovery.

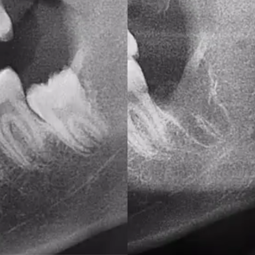
Wisdom Teeth Removal

Wisdom Teeth Removal

Wisdom teeth removal can prevent pain, crowding, and future dental issues. We provide comfortable, safe extractions tailored to your unique dental needs.

Cosmetic Dentistry

Cosmetic Dentistry

Enhance your confidence with cosmetic dentistry solutions designed to perfect your smile. We offer whitening, veneers, bonding, and more to help you achieve the smile you’ve always wanted.

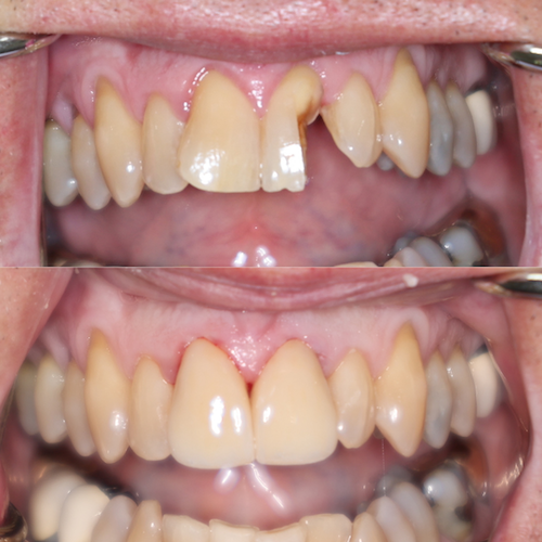
Crowns

Dental Crowns

Dental crowns restore strength, function, and appearance to damaged or weakened teeth. We custom-design crowns to blend seamlessly with your smile for long-lasting protection.

Holly Street Dental Services Bridge

Dental Bridges

Dental bridges fill the gaps left by missing teeth, restoring your smile’s appearance and function. Our bridges are crafted to fit comfortably and look natural.

Veneers

Dental Veneers

Transform your smile with custom dental veneers. Veneers can correct chips, gaps, stains, and uneven teeth, giving you a beautiful, confident smile with minimal preparation.

Image (14)

Clear Aligner Orthodontics

Straighten your teeth discreetly and comfortably with clear aligner orthodontics. Using a series of custom-made, removable aligners, we gently guide your teeth into proper alignment, without metal brackets or wires. Enjoy a virtually invisible, convenient solution for a beautifully aligned smile.

Image (12)

Partial Dentures

Partial dentures are a removable solution to replace multiple missing teeth. Designed for comfort and stability, they restore your smile’s appearance and functionality.

Image (12)

Complete Dentures

Complete dentures provide a full-arch replacement for missing teeth, restoring your ability to eat, speak, and smile confidently. We customize dentures for a natural, secure fit.

Holly Street Dental Services Implant Supported Dentures

Implant-Supported Dentures

Implant-supported dentures combine the stability of implants with the coverage of dentures, offering a secure, natural-feeling solution that enhances chewing and comfort.

Comprehensive Dentistry

Comprehensive Dentistry

Comprehensive dentistry covers all aspects of your oral health under one roof. From preventive care to advanced restorative treatments, we provide personalized solutions for a lifetime of healthy smiles.