Table of Contents

Cosmetic Dentistry

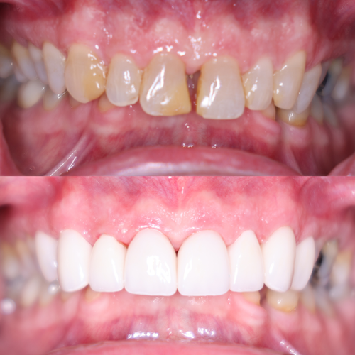
What is Cosmetic Dentistry?

Looking for a dentist in Canby, Oregon that provides cosmetic dentistry? Cosmetic dentistry focuses on enhancing the appearance of your smile while supporting overall oral health. Whether you are looking to brighten your teeth, correct minor imperfections, or improve symmetry, cosmetic dental treatments can help you feel more confident when you smile, speak, and interact with others.

Our approach to cosmetic dentistry is personalized, conservative, and designed to create natural-looking results that complement your facial features.

Cosmetic Dentistry Procedures

Cosmetic dentistry includes a variety of treatments that can improve the color, shape, size, alignment, and overall appearance of teeth. Common cosmetic services may include:

  • Teeth whitening
  • Porcelain, zirconia, or emax/lithium disilicate veneers
  • Porcelain, zirconia, or emax/lithium disilicate crowns
  • Porcelain, zirconia, or emax/lithium disilicate bridge(s)
  • Tooth replacement therapy with dental implants
  • Tooth reshaping and contouring
  • Smile makeover planning

Each treatment plan is customized based on your goals, oral health, and desired outcome.

Cosmetic Dentistry Treatment Process

Cosmetic treatment typically begins with a consultation to understand your concerns and vision for your smile.

  1. Smile Evaluation – We assess tooth color, shape, alignment, gum health, and bite, and discuss what changes you would like to see.
  2. Treatment Planning – Options are reviewed in detail, including expected outcomes, timelines, and maintenance considerations.
  3. Cosmetic Treatment – Depending on the procedure, treatment may be completed in a single visit or over multiple appointments.
  4. Final Results and Maintenance – Once treatment is complete, we provide guidance on caring for your smile to help maintain long-lasting results.

Alternatives to Cosmetic Dentistry

Depending on your goals, alternatives may include:

  • Preventive or restorative care without cosmetic changes
  • Orthodontic treatment for alignment concerns
  • Accepting natural tooth characteristics without treatment


We encourage open discussion to ensure cosmetic treatment aligns with your comfort level, expectations, and oral health needs.

Risks and Considerations

Cosmetic dentistry is generally safe when properly planned and performed. Potential considerations may include:

  • Temporary tooth sensitivity, especially with whitening
  • Chipping or wear of cosmetic materials over time
  • Need for replacement or maintenance of restorations
  • Cosmetic treatments do not stop normal aging or wear


Maintaining good oral hygiene and regular dental visits helps protect cosmetic results.

Frequently Asked Questions about Cosmetic Dentistry

Is cosmetic dentistry only about appearance?
While the primary focus is aesthetics, many cosmetic treatments also improve function, comfort, and oral health.

How long do cosmetic dental treatments last?
Longevity depends on the procedure, materials used, and home care. Many cosmetic restorations last years with proper maintenance.

Will cosmetic dentistry look natural?
Yes. Treatments are designed to blend seamlessly with your natural teeth for a balanced, natural appearance.

Is cosmetic dentistry right for everyone?
Most patients are candidates, but underlying dental issues such as decay or gum disease may need to be addressed first.

Does cosmetic dentistry require special care afterward?
Routine brushing, flossing, and regular dental visits are usually sufficient, along with avoiding habits that may damage teeth.

Schedule a Cosmetic Dentistry Consultation

If you are interested in improving the appearance of your smile, cosmetic dentistry may be a great option. Our team is happy to answer questions, review treatment possibilities, and help you create a smile that feels confident and natural.

Call our office or request an appointment online to schedule your cosmetic dentistry consultation.